BEWARE OF TEXT NECK
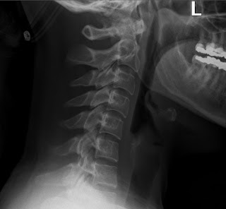
Recently I have seen a lot of patients that are suffering because of what is called anterior head carriage. Anterior head carriage is when the weight of the head (8-9lbs) is brought forward. This exerts extreme amount of pressure on the spine. The head is then left in this position for an extended period of time, resulting in muscle inflammation and trigger points. Here is a normal side view x-ray (mine).
notice the smooth upward curve.
The next 2 show abnormalities in the curve. All 3 x-rays are of people in their early 30's
The last picture is of a patient with moderate cervical degenerative disk disease resulting from this stress, and is about 50 years old. This will progress, and will never regain normal range of motion, stability, and pain will come and go. All of these people are regular, with common complaints of neck pain, muscle tension, and aches. These postures are very common. (I've taken all of these in the last few weeks).
Proper posture, exercises, and muscle stability allows our spines to hold the massive weight of our head without damaging the internal structure of our spine. Do you have a strong CORE? Half of the patients tested in our office fail the basic neck and back strength tests.
Healing Hands Chiropractic Long Beach MS
Healing Hands Chiropractic Long Beach MS




